磁石でつく入れ歯!?

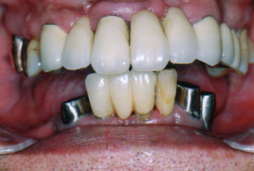
       入れ歯は部分入れ歯の場合、残った歯に金具のようなもので引っ掛けて安定
      させています。しかし、この方法だと金具が外から見えるので、いかにも「私は
      入れ歯を入れています。」という感じになり、また、金具と歯の間に食べ物の残り
      がはさまりやすく、金具が唇やほっぺたに当たる感じがなんとも気持ち悪いもの
      です。
       このような場合、残った歯と入れ歯に磁石を埋め込んで、磁力で入れ歯を安定
      させることができます。この方法なら金具が必要なくなるので外から見た場合、
      一見入れ歯を入れているのか分からなくなるので、見た目が大変良くなります。
      また、金具と歯の間に食べ物の残りがはさまることもなくなり、唇やほっぺたの
      金具があたる異物感もなくなります。
       また、総入れ歯の場合でも歯の根の部分が残っていれば、そこに磁石を埋め
      込んで、入れ歯をしっかり安定させることができます。さらに、まったく歯がなくて
      もインプラントという人工の歯を植えて、そこに磁石をつけることも可能です。

                          
          
                金具が見えると、入れ歯を入れているのがすぐ分かります


               
           
             下の歯3本に磁石を埋め込んでいます。金具が見えないので、
           入れ歯を入れているのが分からなくなります。