歯並びをきれいに(歯の矯正について)
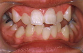
歯並びが悪いと、悩んでいる人が意外に多いものですが、歯の矯正は子供しか
できないと思っている人がほとんどではないでしょうか?
歯の矯正は、大人から子供まで可能ですし、状態によってはそれほど高額な費用
はかかりません、期間や費用は、状態により異なりますので、メールにてお問い合
わせの後、ご来院、ご相談ください。
治療費の目安 10万から60万ぐらい(歯並びの状態、年齢、期間により異なります。)
相談料、調整料や装置の付け替え料、経過観察料は、無料です。
治療期間の目安 1から3年ぐらい(歯並びの状態、年齢により異なります)
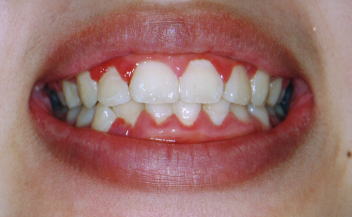
歯並びが治った後は、簡単な保定装置を付け経過観察をします。
治療開始の時期 子供の場合は、一般的には前歯が生え揃う前後
(歯並びの状態によっては、これより早くあるいは遅く始めます。)
大人の場合は、特にありません、
(始めようと思った時です。)
白い装置 目立たない白いセラミックの矯正装置が選べます。治療費は金属製のものより
若干高くなります。
Up! *治療費のお支払いは、20回までの分割が可能です。
矯正Q&A

